Стоматологическая клиника ВАШ СТОМАТОЛОГ на улице Антона Петрова

Популярные услуги

Акции и скидки

Чистка зубов Air Flow + подарки после процедуры
Срок действия
Осталось 14 дней, до 30 апреля
Консультация смежных специалистов бесплатно
Срок действия
Осталось 14 дней, до 30 апреля
Лечение под микроскопом по цене стандартного
Срок действия
Осталось 14 дней, до 30 апреля
Клкт 3D снимок для наших пациентов дешевле
Срок действия
Осталось 14 дней, до 30 апреля
Подарите близким возможность радовать Вас своей Улыбкой
Срок действия
Осталось 14 дней, до 30 апреля
Программа «С уважением!», подарок для пенсионеров
Срок действия
Осталось 14 дней, до 30 апреля
Бонусная карта
Срок действия
Осталось 14 дней, до 30 апреля

Подробнее о компании ВАШ СТОМАТОЛОГ

Зачем мы посещаем стоматологию? Как правило, если нас настигла внезапная зубная боль. В стоматологической клинике ВАШ СТОМАТОЛОГ с пониманием отнесутся к вашему случаю. Новейшие технологии в сфере стоматологии позволяют персоналу клиники успешно излечивать заболевания полости рта и проводить профилактические мероприятия.

Если вы собираетесь добиться ровной и сверкающей улыбки, то работу над ней лучше доверить экспертам. В стоматологической клинике ВАШ СТОМАТОЛОГ имеется специализированное оборудование для того, чтобы ваши зубы всегда были здоровыми. В нашей стоматологии оказывают услуги лечения кариеса, удаления зубов, компьютерной томографии, рентгенологической диагностики, изготовления имплантов, а также установки металлокерамики, имплантов, виниров. С нами ваша улыбка будет яркой, а зубы крепкими!

Записаться на прием к интересующему вас специалисту можно по телефону.

Наш рейтинг на порталах
Доступная среда
вызов персонала
Способы оплаты
картой, наличные, QR код, через банк

Фотогалерея

Специалисты

Елена Алексеевна Доманова
Елена Алексеевна Доманова
● 32 года практики ● 5 400+ Улыбок пациентов под ее заботой ● 25 000+ приёмов «Я врач-стоматолог терапевт и по совместительству — главный врач. А в душе я — дизайнер. Моя работа совпадает с моим хобби. Я люблю людей и благодарна Вселенной за свою профессию! Очень люблю учиться всему новому — это повышает моё мастерство и всегда приводит к лучшим результатам в лечении зубов. Делать улыбку красивой и здоровой — это счастье! Очень люблю путешествовать!» — рассказывает о себе Елена Алексеевна. Для Елены Алексеевны стоматология — не просто профессия. Это дело всей жизни, путь длиною в десятилетия, который не утомляет, а вдохновляет. За более чем 30 лет практики, она каждый день идёт на работу с любовью. «Недавно для меня стало открытием, что многие люди работают не по воле сердца. А я — каждый день иду к своим пациентам с большой радостью. Делаю людей здоровыми, уверенными и счастливыми. Это моё!» — говорит Елена Алексеевна. Профессиональное кредо — бережная стоматология, основанная на профилактике и доверии. Она уверена: никакая болезнь не лечится лучше, чем предупреждается. Поэтому с каждым пациентом — от первого визита до контрольных осмотров спустя годы — она не устаёт повторять: профилактика важна. Это просто, это работает, и это забота не только о зубах, но и о всём организме. «Микробы едят не только зубы, они едят даже пломбы. И если нет ухода — будет кариес. Пациентам я всегда объясняю: здоровье начинается с полости рта». И говорит Елена Алексеевна об этом не разово, а ежедневно каждому своему пациенту.
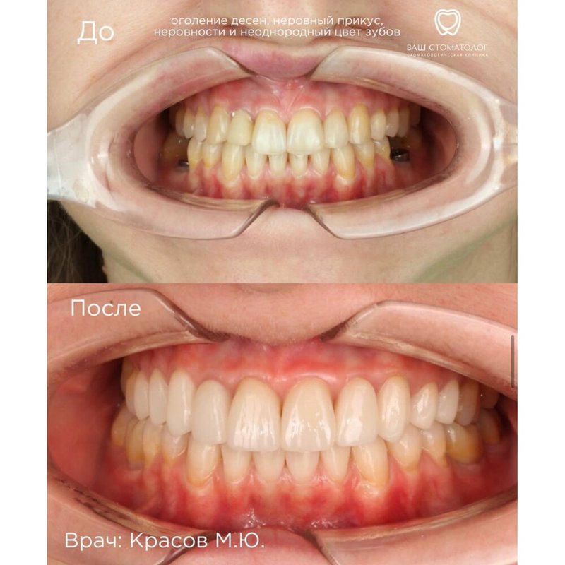
Михаил Юрьевич Красов
Михаил Юрьевич Красов
550+ счастливых пациентов с новой улыбкой 2500+ приёмов Спортсмен, который стал стоматологом. В его характере — командный дух, уважение к правилам и стремление к победе. И всё это он применяет в стоматологии: в точности, ответственности и стремлении к результату, который будет выше ожиданий. “Я врач-стоматолог ортопед. С шести лет занимался футболом и мечтал стать профессиональным спортсменом. После окончания школы полностью погрузился в учёбу, но футбол не оставил. В составе сборной университета становился чемпионом России по футболу. На сегодняшний день продолжаю выступать в Суперлиге Алтайского края по мини-футболу. В студенческие годы был командиром строительного отряда и стал лучшим командиром студенческих отрядов России. Люблю походы и отдых в горах. Играю на гитаре. Считаю, что если берёшься за дело — нужно делать его хорошо. Поэтому всегда отдаюсь своей работе на 100%. Ценю прямоту и честность в общении с коллегами и пациентами.” Михаил Юрьевич — из тех врачей, у кого в глазах сразу читается уверенность и включённость. Он не только стоматолог-ортопед, но и настоящий капитан: в спорте, в жизни и в профессии. За его плечами — чемпионство России по футболу, лидерство в студенческих отрядах, медицинское образование и глубокое уважение к своему делу. С самого начала он привык работать в команде — а значит, слушать, помогать, поддерживать. В стоматологии это проявляется в умении общаться с пациентом, слышать его запрос, объяснять сложное простым языком. Михаил честен, спокоен и внимателен — а потому к нему возвращаются. И приводят друзей и родных. Он специализируется на тотальных работах, эстетическом протезировании и сложных восстановительных кейсах. Это те случаи, где важна не только техника, но и стратегия, умение видеть на несколько шагов вперёд — не зря он сам сравнивает свою профессию с архитектурным искусством. Для Михаила важно, чтобы пациент не просто получил результат — а был искренне доволен, чтобы улыбка нравилась самому человеку. Он стремится превзойти ожидания, и делает это тихо, надежно и по-настоящему профессионально. За этим стоит большая внутренняя дисциплина и настоящая страсть к делу. А силы он черпает в движении: футбол, сноуборд, горы, гитара. Это помогает ему быть не просто врачом, а тем, кто рядом в важный и нужный момент — спокойно, по-настоящему, с вниманием и заботой к каждому пациенту.
Карина Андреевна Кривошейцева
Карина Андреевна Кривошейцева
Стоматология — как гончарное дело. Здесь важна точность, тонкость, терпение — и Душа. Именно так она и работает: бережно, осмысленно, с любовью к деталям. В каждом приёме для неё — не просто зуб, а человек, с его страхами, вопросами, доверием. А доверие — это всегда большая ответственность. «Я врач-стоматолог общей практики. С детства хотела быть врачом, а ближе к 9-му классу поняла, что хочу стать именно стоматологом. Путь окончательно определился, когда я начала работать ассистентом: увидела, как работает настоящая клиника, почувствовала дух команды и вдохновилась Еленой Алексеевной. Тогда всё стало на свои места. Мне важно объяснить пациенту, зачем мы делаем то или иное, научить его ухаживать не только за зубами, но и за всей полостью рта. Люблю, когда человек уходит не просто с лечением, а с пониманием, с ощущением, что он теперь знает больше и может о себе позаботиться. Особенно люблю работать с каналами — эндодонтия мне очень близка. Это про точность, терпение и маленькие победы внутри большого процесса.». Карина Андреевна — молодой врач с очень зрелым подходом. Она понимает, как важно слышать пациента, говорить на одном языке и быть рядом — по-настоящему. Она честная, открытая, внимательная. Любит свою профессию — не на словах, а в ежедневных действиях. Карина Андреевна работает на терапевтическом приёме: проводит лечение под микроскопом, профессиональную гигиену, курирует программу «PRO ПРОФИЛАКТИКА» и мастер в эстетической реставрации. И делает это точно и тонко — с чутким подходом и современными знаниями. Заранее старается понять пациента, услышать его тревоги, объяснить, как будет проходить лечение. Если кто-то боится — Карина Андреевна сначала выслушает, потом мягко и спокойно расскажет, что и как будет происходить. Карина Андреевна – это врач, у которого важно не просто “что сделать”, а “как лучше сделать”, то есть с Душой, с уважением, открытостью и с искренним желанием помочь пациенту. В её характере — внутреннее движение. Она растет, развивается, не стоит на месте. Сноуборд, тренировки, путешествия — это всё про неё. И это всё даёт ей ту самую энергию, с которой она встречает каждого пациента.
Александр Вячеславович Ефимов
Александр Вячеславович Ефимов
В профессии с 7 класса — не по опыту, а по призванию. «Я только начинаю свой путь в профессии стоматолога. Ещё со школы, с 7 класса, понял, что хочу заниматься именно этим, и с тех пор интересуюсь всем, что связано с лечением зубов. Очень люблю автоспорт — он во многом отражает мой характер. Скорость, драйв, эмоции, желание побеждать — всё это даёт мне чувство, что я живу по-настоящему! Для меня самое важное в жизни — это семья и друзья. А ещё я верю, что без чёткого плана не достичь цели, поэтому всегда стараюсь идти шаг за шагом. Моя мечта — стать настоящим мастером в ортопедической стоматологии, чтобы помогать людям и радоваться вместе с ними их новым улыбкам» Александр — молодой специалист, для которого стоматология давно стала не просто выбором, а частью жизни. Он мечтал о профессии с 7 класса, чтобы когда-то перестать бояться стоматологов, а однажды — самому стать тем врачом, которому доверяют. Практика началась не с лёгких задач, но именно она подтвердила: он на своём месте. Первый съёмный протез, слепки, которые приходилось переделывать, первая коронка — всё это стало точками роста, и источником искренней гордости. «Гордость — не в том, что получилось с первого раза. Гордость — в том, что ты не отступил, а помог человеку». Александр ценит честность — к пациентам и в работе. Он всегда говорит, как есть, и объясняет каждый этап лечения понятным, человеческим языком. Это помогает пациентам чувствовать себя спокойно даже на первых приёмах. Больше всего Александра вдохновляют сложные случаи: разрушенные зубы, которые он превращает в эстетически точные конструкции. Это для него — настоящее искусство. «Если бы стоматология была искусством, это была бы скульптура. Из ничего — создаёшь форму, объём, жизнь». Его любимый момент — фиксация коронок. Когда пациент впервые видит свою улыбку в зеркале и… улыбается «во все зубы» — вот ради чего он работает.
Юлия Владимировна Гиб
Юлия Владимировна Гиб
Человек, для которого работа — радость, а результат — вдохновение. В её работе много концентрации и смысла. И очень много Любви к своему делу.

«Я врач-стоматолог, хирург, имплантолог и пародонтолог. И я — мама!
У меня двое сыновей. Люблю вкусно готовить, Люблю спорт, путешествовать и учиться.
Главное в моей жизни — семья и мои близкие. А ещё я очень ценю честность, искренность и уважение».
«ВАШ СТОМАТОЛОГ» — мой второй дом!» — говорит Юлия Владимировна.

В профессию она шла целенаправленно ещё со школы. С детства любила рисовать, развивала мелкую моторику, и именно в стоматологии увидела возможность реализовать себя — и не ошиблась.
«Когда видишь результат и довольного пациента — понимаешь, что сделала правильный выбор. Это моё!»

Особенно близки ей хирургия и пародонтология — направления, где ответственность, решительность, смелость в принятии решений сочетается с вниманием к человеку.

«Главное — это Любовь! Если не любишь свою работу — это сразу чувствуется. А я Люблю. И это меня наполняет.»

Юлия Владимировна не работает по шаблону. Это особенно важно в хирургической стоматологии, где пациенту важно не только профессионализм врача, но и его поддержка. Пациенты возвращаются к ней спустя годы, при этом она всегда помнит свою работу в деталях.

«Чтобы человек мог свободно есть и улыбаться, и при этом не чувствовать ограничений - это моя цель и моя мотивация в каждом дне!»

Вне клиники Юлия Владимировна любит спорт, кулинарию, путешествия и новые впечатления. Часто совмещает отдых с обучением — потому что для неё развитие и есть ее уникальный Путь человека и врача.

«Учеба, ежедневный труд, любовь к своему делу – результат!
Всё взаимосвязано!»
Максим Олегович Новиков
Максим Олегович Новиков
«Я пришёл в хирургию не случайно. До этого 7 лет работал зубным техником и сейчас хорошо понимаю все процессы протезирования изнутри. За время работы техником я понял, что мне не хватает движения, принятия решений здесь и сейчас. Так я пришёл в хирургию — ту часть стоматологии, где нет одинаковых случаев, но есть возможность помочь: сохранить, восстановить, вылечить».

Максим Олегович — стоматолог-хирург, который пришёл в профессию осознанно. Сначала медицинский колледж, потом 7 лет в зуботехнической лаборатории, затем институт — и выбор хирургии. Именно здесь он чувствует себя нужным и полезным людям. И то, что не даёт заскучать))

«Я из тех хирургов, кто до последнего старается сохранить зуб. Иногда — буквально уговариваю пациента не спешить с удалением, если вижу хоть малейший шанс на спасение зуба. Если есть шанс — его нужно использовать. Для меня очень важно, чтобы и сам пациент хорошо понимал цену поспешного решения для своего стоматологического здоровья».

Максим Олегович считает: важно не просто провести процедуру, а вести человека до результата, быть рядом в процессе. Его пациенты чувствуют это. Он не только «делает свою часть», но и берёт ответственность за весь путь.

«Я врач! А значит приоритет — помочь, а не продать. Поэтому слушаю, объясняю, не спешу. Ценю главное — доверие пациента».

Любимая «задача» в повседневной практике — сложные «восьмёрки», воспаления, осложнения после неудачного лечения — то, что другим возможно и не по-нраву, для него — точка профессионального интереса.

Он постоянно учится — у коллег, на кейсах, у гуру стоматологической хирургии.
Вне работы Максим Олегович — командный человек. Раньше играл в баскетбол, сейчас увлёкся страйкболом. Это помогает оставаться в тонусе, держать внимание, сохранять выносливость. А ещё — просто отдыхать в потоке сложных задач.
Анна Федоровна Коваленко
Анна Федоровна Коваленко

Отзывы

5,0
Екатерина
Услугу, которую я ожидала, выполнили полностью. Мою проблему решили оперативно, и зуб вылечили без задержек. Дополнительно подробно рассказали, как правильно ухаживать за зубами, провели тщательную чистку и убрали зубной камень качественно.
5 марта 2026 Отзыв взят с сайта Zoon.ru
5,0
Анастасия
Лечение кариеса прошло отлично, все сделали оперативно и без лишних хлопот. Я осталась в восторге от результата. Записаться на прием тоже было легко.
5 марта 2026 Отзыв взят с сайта Zoon.ru
5,0
Анастасия
Кариес мне вылечили быстро и качественно, доктор проявлял внимательность и заинтересованность в процессе лечения. Результатом я очень довольна!
5 марта 2026 Отзыв взят с сайта Zoon.ru
5,0
Татьяна
Врач Елена Алексеевна Доманова провела терапевтическое лечение на должном уровне, и результат меня полностью устроил, всё прошло замечательно.
5 марта 2026 Отзыв взят с сайта Zoon.ru
5,0
Сергей
Доктор Елена Алексеевна лечила мне кариес и проводила осмотр. Она работала быстро и аккуратно, всё сделала отлично. Персонал вежливый, сервис хороший, как и должно быть в нормальной клинике.
4 марта 2026 Отзыв взят с сайта Zoon.ru
5,0
Мария
Сделала гигиеническую чистку и поставила безметалловую коронку, еще лечилась у врача Елены Алексеевны. Все было сделано хорошо, персонал отнесся ко мне с заботой, а сервис на хорошем уровне.
4 марта 2026 Отзыв взят с сайта Zoon.ru
5,0
Светлана
Я долго не могла вылечить зуб, но здесь мне помогли. Врач отлично справился с кариесом и периодонтитом, а еще отнеслась ко мне с заботой.
4 марта 2026 Отзыв взят с сайта Zoon.ru
5,0
Максим
На приеме у врача мне вылечили кариес. Он сначала осмотрел зубы, затем сделал снимок. Доктор отнесся ко мне внимательно и вежливо, за что я ему благодарен.
4 марта 2026 Отзыв взят с сайта Zoon.ru
5,0
Андрей
В клинике сразу почувствовалась забота о пациентах. Доктор Елена Доманова отнеслась ко мне с вниманием, перед лечением кариеса провела тщательный осмотр. Всё прошло отлично.
4 марта 2026 Отзыв взят с сайта Zoon.ru
5,0
Александр
Зубы сделали очень быстро, всего за 5 дней. В других местах мне называли сроки от 4 недель и больше. Доктор поставил мне мост, он оказался внимательным и согласился принять срочно. У меня оставалась всего неделя до отъезда, а нужно было восстановить 2 зуба.
19 февраля 2026 Отзыв взят с сайта Zoon.ru
5,0
Анонимный пользователь
Мне всё абсолютно нравится в этой стоматологической клинике - и обслуживание на ресепшене, и профессионализм врачей. Я наблюдаюсь у нескольких докторов: Гиб Юлии Владимировны, Елены Алексеевны Домановой и Михаила Юрьевича, каждый из них действительно мастер своего дела. В последний раз приходила на приём к Юлии Владимировне - делала чистку и проходила профилактический осмотр дёсен. Доктор не только качественно выполнила работу, но и дала полезные рекомендации. Особенно ценно, что врач всегда на связи и готова помочь, а все объяснения даёт максимально доступным языком.
19 февраля 2026 Отзыв взят с сайта Zoon.ru
5,0
Булгакова Наталья Борисовна
На протяжении всего года обращалась в эту клинику, хочу отметить врачей: Елену Алексеевну Доманову и Гиб Юлию Владимировну. Доктора демонстрируют высочайший уровень профессионализма и по‑настоящему внимательное отношение к пациентам. Когда у меня возникали вопросы, сотрудники всегда оперативно отвечали по телефону, подробно всё разъясняли и при необходимости назначали дополнительные встречи. В последний визит мне ставили импланты - перед этим провели необходимую диагностику, сделали томографию челюсти. Тогда врач дала чёткие рекомендации по дальнейшему уходу и срокам приживления импланта.
18 февраля 2026 Отзыв взят с сайта Zoon.ru
5,0
Анастасия
Карина Андреевна Кривошейцева качественно пролечила мне зуб, всё прошло без проблем. Врач объяснила, как ухаживать за зубом и прийти на осмотр, если понадобится. Меня приняли точно в назначенное время, а персонал на ресепшене был очень внимательным.
6 февраля 2026 Отзыв взят с сайта Zoon.ru
5,0
Татьяна
Мы к Елене Алексеевне всегда ходим, она наш любимый стоматолог, ведь все очень хорошо делает. Уже протезировались в клинике, до сих пор всем довольны. В этот раз было лечение кариеса.
6 февраля 2026 Отзыв взят с сайта Zoon.ru
5,0
Олеся
Мне нравится очень внимательное и тщательное отношение к лечению зубов. По характеру Елена Алексеевна Доманова доброжелательная и общительная, что делает общение с ней комфортным. В последний визит я обращалась по поводу лечения кариеса, как всегда, все прошло на отличном уровне.
6 февраля 2026 Отзыв взят с сайта Zoon.ru
5,0
Марина
Мне понравился подход к людям в клинике - всё сделали аккуратно и быстро. Я лечила зуб и ставила пломбу у молоденькой девушки-доктора Перед лечением делали фото, показывали всё на экране. Для меня важно, чтобы пломба была качественной и не вылетела через неделю. После лечения дали устные рекомендации, в том числе чаще посещать поликлинику.
6 февраля 2026 Отзыв взят с сайта Zoon.ru
5,0
Елизавета
Мне очень понравилось обслуживание в клинике: хорошие отношения, понимание со стороны персонала. Качество услуги на высоте, особенно в обращении. Последний раз я была на лечении кариеса и установке пломбы у доктора Кривошейцевой, это был положительный опыт.
6 февраля 2026 Отзыв взят с сайта Zoon.ru
5,0
Надежда
Лечение было качественным, я лечила зуб в октябре, с тех пор меня ничего не беспокоит. Последний визит был по пломбе, консультацию проводила Елена Алексеевна, она посмотрела всё, всё оказалось в порядке. После лечения я пришла на повторный осмотр, так как исправляю прикус и ношу капу, мне сказали, что пока ничего делать не нужно, всё нормально.
5 февраля 2026 Отзыв взят с сайта Zoon.ru
5,0
Карина
Я проходила процедуру чистки зубов, качество услуги меня полностью устроило. Особенно хочу отметить общение с доктором - она была очень внимательной и вежливо всё расспрашивала во время работы. У меня сложилось приятное впечатление от всей процедуры приема. Я живу в этом доме и постоянно хожу в эту клинику как постоянный клиент.
5 февраля 2026 Отзыв взят с сайта Zoon.ru
5,0
Любовь
Видно отличное отношение со стороны врачей и качественное лечение! Хожу в клинику уже 2 года к врачу Елене Алексеевне Домановой - всегда принимают хорошо, работают аккуратно. После лечения кариеса получила рекомендации по дальнейшему наблюдению.
5 февраля 2026 Отзыв взят с сайта Zoon.ru
5,0
Анна
Было внимательное и хорошее отношение со стороны персонала, как у терапевта Елены Алексеевны, так и у хирурга-мужчины. Лечение продолжается, в рамках которого проводили комплексные процедуры: чистку каналов, установку пломб и другие. Перед лечением была проведена диагностика, включая КТ. Я осталась довольна профессионализмом и вниманием врачей.
5 февраля 2026 Отзыв взят с сайта Zoon.ru
5,0
Мария
Врач вылечила зуб и хорошо все объяснила, рассказала, в чем была проблема. В итоге зуб не болит, все отлично. Доктор Кривошейцева Карина Андреевна хорошая, мне ее порекомендовали, она действительно оправдала ожидания.
5 февраля 2026 Отзыв взят с сайта Zoon.ru
5,0
Рената
Получила качественное лечение кариеса в клинике. Работа была выполнена профессионально, что очень понравилось. Доктор Елена Алексеевна проявила высокий профессионализм и дала полезные рекомендации продолжать ухаживать за зубами. Прием прошел хорошо, взаимоотношения с доктором были хорошими.
4 февраля 2026 Отзыв взят с сайта Zoon.ru
5,0
Мария
Уже несколько лет хожу в эту клинику и всегда остаюсь довольной. Здесь работают хорошие специалисты, которые относятся к пациентам с заботой и пониманием. Я регулярно записываюсь на чистку зубов к Елене Алексеевне и Карине Андреевне. Они настоящие профессионалы, доходчиво объясняют каждый этап процедуры. В прошлый раз сделали все аккуратно, без дискомфорта, я получила отличный результат.
4 февраля 2026 Отзыв взят с сайта Zoon.ru
5,0
Анара
Приятно было быстро связаться с клиникой, меня приняли без предварительной записи в тот же день, когда пришла с сильной зубной болью. Работа врача очень понравилась, он установил временную пломбу и боль моментально прошла. Уже записалась на следующий визит.
31 января 2026 Отзыв взят с сайта Zoon.ru
5,0
Анастасия
Врачи проявили большую внимательность, случайно обнаружили кисту гайморовой пазухи и сразу направили к ЛОРу, это помогло решить проблему. Мне перелечивали кариес, понравилась прозрачность: всё подробно объясняли, показывали и доброжелательно общались.
31 января 2026 Отзыв взят с сайта Zoon.ru
5,0
Стас
Понравилась технологичная обстановка в клинике и аккуратность девушки, которая меня обслуживала. Был осмотр, мне аккуратно проверили зуб с заморозкой, не рвали и не тыкали острыми инструментами. Это был первый раз, когда так осторожно подходили к осмотру, раньше, в других местах, всегда резали и рвали. Врач был вежливым, сказал, что зуб надо отремонтировать, но пока что я только проходил осмотр, лечения еще не было.
30 января 2026 Отзыв взят с сайта Zoon.ru
5,0
Юлия
Мне всё понравилось на процедуре профессиональной гигиены полости рта. Больше всего запомнилось, как мне подробно объяснили и показали, как правильно чистить зубы, со всеми нюансами, о которых я раньше не знала. В других клиниках такого не встречала, у вас впервые увидела такой подход! Стоматолог работала очень тактично и профессионально: сразу спросила, как я ухаживаю за зубами, показала наглядно, какими движениями чистить и как убирать остатки пищи. Рекомендациями врача я пользуюсь: использую ирригатор, многопучковые щетки и прочее.
30 января 2026 Отзыв взят с сайта Zoon.ru
5,0
Наталья
В этой стоматологии просто шикарные доктора! Администраторы очень вежливые, всегда идут навстречу и помогают, никаких нареканий нет. Я обращаюсь сюда по многим вопросам, была у Гиб Юлии Владимировны и врача-терапевта на лечении каналов зуба, все доктора профессиональные, аккуратные и приятные в общении.
23 января 2026 Отзыв взят с сайта Zoon.ru
5,0
Евгения
Мне лечили кариес в этой клинике, зубы теперь в порядке, никаких болезненных ощущений нет. Уже много лет я наблюдаюсь у Елены Алексеевны Домановой, она грамотный специалист и настоящий профессионал. Эта стоматология полностью меня устраивает, я пользуюсь их услугами с самого детства. Персонал тут очень отзывчивый, администраторы, медсестры и врачи всегда доброжелательны, записаться на прием легко, а приемы проходят строго в назначенное время.
22 января 2026 Отзыв взят с сайта Zoon.ru
5,0
Наталья
На протяжении многих лет посещаю клинику, здесь очень вежливый и квалифицированный персонал, особенно администратор и доктор Елена Алексеевна Доманова, она просто самый лучший врач! В этот раз была у врача Карины, она мне делала пломбу, всё прошло нормально.
22 января 2026 Отзыв взят с сайта Zoon.ru
5,0
Татьяна
Ходила к доктору Домановой Елене Алексеевне по поводу лечения, результатом довольна. Врач всегда дает полезные рекомендации в устной форме. Я посещаю эту клинику уже около 10-15 лет, стала постоянным клиентом по рекомендации именно данного доктора.
21 января 2026 Отзыв взят с сайта Zoon.ru
5,0
Сергей
Терапевт и хирург относились ко мне уважительно, всё подробно спрашивали и рассказывали. Мне сделали чистку зубов, так как уже начался воспалительный процесс и удалили камни. На процедуре я чувствовал себя вполне комфортно. Пломбу пока не поставили, так как был вопрос с зубом, который теперь будем смотреть. Также мне выдернули другой зуб.
20 января 2026 Отзыв взят с сайта Zoon.ru
5,0
Анонимный пользователь
Профессионализм врача-стоматолога приятно впечатлил: мне безболезненно и аккуратно восстановили передний зуб, который немного откололся.
30 декабря 2025 Отзыв взят с сайта Zoon.ru
5,0
Лариса
Понравилось, как приняли, как всё рассказали. Консультировалась по имплантации зубов у доктора, который хорошо общался со мной, расписал всё необходимое, что и как делать.
30 декабря 2025 Отзыв взят с сайта Zoon.ru
5,0
Татьяна
Во время чистки и консультации Карина Андреевна Кривошейцева дала подробные объяснения и внимательно ответила на все мои вопросы, уделяя большое внимание гигиене полости рта. Она профессионально выполнила свою работу и дала полезные советы по правильному уходу за зубами, которые помогут избежать проблем в будущем.
19 декабря 2025 Отзыв взят с сайта Zoon.ru
5,0
Нелли
В моём случае проблему с зубом смогли решить, хотя я больше года страдала из-за нее. Долго не могли найти остаток нерва, который вызвал боль, но наконец его удалили. Сейчас лечение продолжается, и я надеюсь, что зуб полностью успокоится. Врач работает тщательно и профессионально, что заметно по результатам. После всего двух посещений ощутила улучшение.
18 декабря 2025 Отзыв взят с сайта Zoon.ru
Удалить отзыв

Остались вопросы?

Вы можете воспользоваться любым из указанных способов связи
Контактный номер
+7 (913) 240-27-... Показать
Мессенджеры